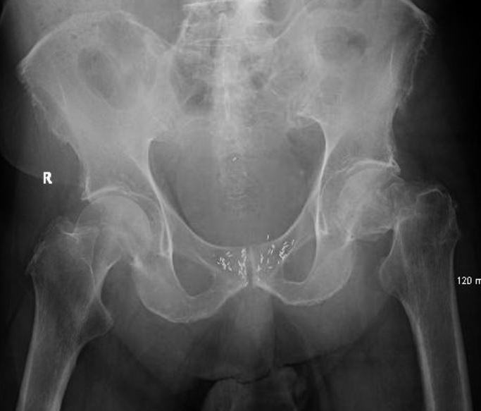
This is a case of an elderly gentleman who sustained a fall from standing height. He fractured his left hip This is classified as a displaced femoral neck fracture. See x-ray below:
He underwent a bipolar hemiarthroplasty using a cementless Zimmer Biomet M/L Taper Hip Prosthesis. Here is a picture of the prosthesis. I prefer the Alloclassic for this type of case.
Postoperative x-ray below:
Subsequently, a few months later, he fell again and fractured his femur. This is called a periprosthetic fracture. This type of fracture is difficult to treat and requires extensive surgery. The hip stem was destabilized by the fracture. See x-rays:
We used the Arcos modular revision system and selected a very long, fully porous coated stem to achieve distal fixation past the fractured area. This is what the Arcos system looks like.
Here are the intra-operative x-rays showing provisional fixation with cables and the trial components:
Here are the post-operative x-rays:
You will note that the stem was so long it could not fit on one x-ray image. You can see that the stem is made of 3 pieces. The head, the proximal portion called the body, and the distal portion called the stem. These are all selected and fitted individually to make the final construct. 4 cables were used to fixate the fractures and stabilize the stem as well.

